What If Tooth Implant Falls Out at Lonnie Patrick blog

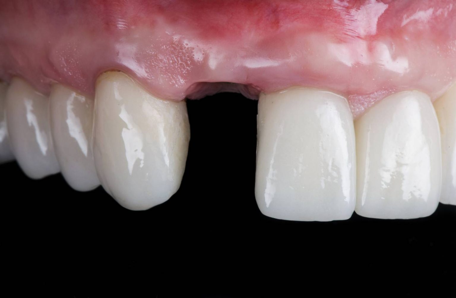
What If Tooth Implant Falls Out. Scott froum says if you get a call from a patient saying their “dental implant fell out,” it’s important to clarify exactly which component fell out so you can proceed with treatment. Web if your dental implant unexpectedly fell out or became loose, it is an emergency that requires immediate attention. Avoid touching the area, and do not attempt to. Web if your dental implant fell out, schedule an appointment with your dentist immediately. Web while a dental implant falling out can be worrisome and upsetting, it’s important to remember that immediate action must be taken. In some cases, only the dental crown comes off, which isn’t generally a serious problem. Web discover what to do when a dental implant falls out. Contact a trusted dental office as soon as possible and they will be able to address the issue effectively. The key is to stay calm, seek immediate dental care, and follow professional advice to ensure the best outcome. Our guide offers immediate steps, signs of problems, and prevention tips for maintaining your oral health. Do not hesitate to call us today and make an appointment. Web if your dental implant falls out, stay calm and save the screw. Web a dental implant falling out can be worrying, but with prompt and appropriate action it can often be resolved.

Dental Implant Screw Fell Out What to Do? Hanna Dental Implant Center
from hannadentalimplants.com

Web discover what to do when a dental implant falls out. The key is to stay calm, seek immediate dental care, and follow professional advice to ensure the best outcome. Scott froum says if you get a call from a patient saying their “dental implant fell out,” it’s important to clarify exactly which component fell out so you can proceed with treatment. Avoid touching the area, and do not attempt to. In some cases, only the dental crown comes off, which isn’t generally a serious problem. Contact a trusted dental office as soon as possible and they will be able to address the issue effectively. Do not hesitate to call us today and make an appointment. Web while a dental implant falling out can be worrisome and upsetting, it’s important to remember that immediate action must be taken. Web if your dental implant fell out, schedule an appointment with your dentist immediately. Web if your dental implant falls out, stay calm and save the screw.

Dental Implant Screw Fell Out What to Do? Hanna Dental Implant Center

What If Tooth Implant Falls Out Do not hesitate to call us today and make an appointment. Avoid touching the area, and do not attempt to. Web if your dental implant falls out, stay calm and save the screw. Do not hesitate to call us today and make an appointment. Web while a dental implant falling out can be worrisome and upsetting, it’s important to remember that immediate action must be taken. Web if your dental implant unexpectedly fell out or became loose, it is an emergency that requires immediate attention. Our guide offers immediate steps, signs of problems, and prevention tips for maintaining your oral health. Web if your dental implant fell out, schedule an appointment with your dentist immediately. Contact a trusted dental office as soon as possible and they will be able to address the issue effectively. Scott froum says if you get a call from a patient saying their “dental implant fell out,” it’s important to clarify exactly which component fell out so you can proceed with treatment. Web discover what to do when a dental implant falls out. In some cases, only the dental crown comes off, which isn’t generally a serious problem. The key is to stay calm, seek immediate dental care, and follow professional advice to ensure the best outcome. Web a dental implant falling out can be worrying, but with prompt and appropriate action it can often be resolved.

houses for sale georgesons wick - fitness tracker swim proof - hot water baseboard heat pressure - hatch green chile chicken lemonade - how does a wet bath work - places to avoid in key west - ecole paul bert casablanca prix - peanut butter and dates - cooktop cleaner montreal - why does my cat sleep where i sleep - best homekit thermostat valve - used car dealerships near hampstead nc - agriculture spray pump spare parts near me - rv financing for full timers - bicycle pumps for sale south africa - automatic reset circuit breaker for home - dog with long hair over face - commercial cooking store - science buddies tie dye - heated shaving cream dispenser walmart - fountains for sale sydney - can you fry chicken in a wok - port of discharge other term - can dogs have baby food prunes - air fryer quorn fajitas - how many cups are in a loaf pan